Friday, July 31, 2015

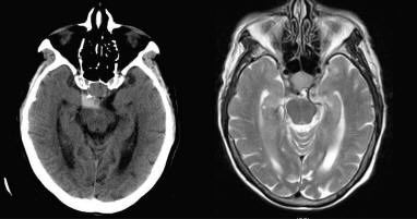
Pituitary Bleed

Pituitary Bleed Photos

Www.entandallergy.com
With bleed into pituitary tumor with sudden visual disturbance. Requires emergency surgery. Macroadenoma Large tumor, usually non- secreting (hormone levels are normal), cause headache or visual disturbance Microadenoma Small tumor, usually secretes ... Read Content

Pituitary Bleed

PITUITARY AND TESTICULAR RESPONSES OF BEEF BULLS TO ACTIVE ...
PITUITARY AND TESTICULAR RESPONSES OF BEEF BULLS TO ACTIVE IMMUNIZATION AGAINST INHIBIN ALPHA1,2 B. D 5-h intensive bleed; inhibin was not acutely affected by a 15-fold LH rise and a threefold FSH rise induced by exogenous GnRH. ... Access Content

Pituitary Bleed Images

Pituitary Hemorrhage : Classification And Related Factors
Pituitary Hemorrhage : Classification and Related Factors Dae-Jin Kim, adenoma) are known to have a tendency to bleed, recur, and be invasive compared to null-cell adenoma cases20). The pathogenesis and predisposing factors of pituitary ... View Document

Pituitary Bleed Pictures

Hemorrhage From A Pituitary Macroadenoma After A Minor Trauma
Hemorrhage From a Pituitary Macroadenoma After a Minor Trauma Mohammad Sami Walid To the Editor: and radiological picture was more consistent with a bleed-ing from a macroadenoma than with a pituitary apoplexy because of the subtle changes in the hormonal homeostasis. ... Fetch Document

Pituitary Bleed Pictures

Acute Hemorrhage Into Pituitary Adenomas - Thejns.org
ACUTE HEMORRHAGE INTO PITUITARY ADENOMAS 145 The fundi were essentially normal, with possible minimal pallor of the right disk. ... Fetch Document

Images of Pituitary Bleed

Vaginal Bleeding - McGill University
• Hypothalamic-pituitary-ovarian axis regulates reproductive function & menstruation – Benign, cyclic vaginal bleeding without other evidence of puberty – Diagnosis of exclusion. The Reproductive Years ... Fetch Full Source

Benign Vs Malignant - Similarities And Differences
Definitions of Benign vs Malignant. The term benign is used to describe both medical conditions and tumors, and usually refers to a process that's not especially dangerous. For example, a benign increase in blood pressure would be an increase that's not dangerous, ... Read Article

Symptoms Of Brain Tumors In Children - About.com Health
Brain tumors in children are rare but there are some signs and symptoms you should watch out for. Here's what you need to know about brain tumor symptoms and your child. ... Read Article

Esophagus Gastric Varices - YouTube
Endotherapy of Gastric Fundal Varices: Intra-Variceal Injection of N-Butyl-2-Cyanoacrylate - Duration: 4:12. Video Journal and Encyclopedia of GI Endoscopy 4,728 views ... View Video

Photos of Pituitary Bleed

Pituitary Apoplexy - University Of North Carolina At Chapel Hill
Pituitary Apoplexy! Bleeding into the pituitary gland! Usually involves bleeding into an adenoma! Typical presentation (mild symptoms to . sudden death) ... Retrieve Content

Pituitary Bleed Images

Midbrain Hemorrhage Mimicking pituitary Apoplexy In Patient ...
Midbrain hemorrhage mimicking pituitary apoplexy in patient using anticoagulation therapy Leonardo M. Batista1, Daniel M. Prevedello2, Contrast CT-scan. Pituitary adenoma [A] is visualized (white arrow). There is evidence of a previous transsphenoidal resection. Axi- ... Retrieve Document

Craniotomy - Wikipedia, The Free Encyclopedia
Craniotomy is distinguished from craniectomy (in which the skull flap is not immediately replaced, allowing the brain to swell, pituitary gland: Hypophysectomy; hippocampus: Amygdalohippocampectomy; Brain biopsy; Cerebral meninges: Meningeal biopsy; ... Read Article

Images of Pituitary Bleed

Hemorrhage Pituitary DuringAnticoagulant Therapy
HemorrhageIntoPituitaryAdenoma DuringAnticoagulantTherapy Ali Reza Nourizadeh, MD, and Frederick W. Pitts, MD HEMORRHAGE into a pituitary adenoma is a well-known entity. Causes for this have been re- that patients who bleed during anticoagulant ther ... View This Document

Pictures of Pituitary Bleed

Pituitary Apoplexy With Intraventricular Hemorrhage: Clinical ...
518 Adriana Dediu et al Pituitary apoplexy with intraventricular hemorrhage heterogeneous intensity of hemorrhage, edematous pituitary gland, and necrotic ... Retrieve Document

Traumatic Brain Injury - Wikipedia, The Free Encyclopedia
Traumatic brain injury (TBI), also known as intracranial injury, occurs when an external force traumatically injures the brain. TBI can be classified based on severity, mechanism (closed or penetrating head injury), or other features (e.g., occurring in a specific location or over a widespread ... Read Article

Pituitary Bleed Images

Pituitary Tumor APoPlexy - SciELO
As pituitary tumor apoplexy and not as pituitary apoplexy5. Notwithstanding pituitary apoplexy occurs within pituitary ing a difficult differential diagnosis with pituitary tumors that bleed or show necrosis12. craniopharingiomas, lipom- ... View Doc

Pictures of Pituitary Bleed

Optic Tract Hemorrhage After Pituitary Apoplexy
CASE REPORT Optic Tract Hemorrhage after Pituitary Apoplexy H.J. Kim W.H. Cho SUMMARY: Subarachnoid hemorrhage following pituitary apoplexy is suggestive of a subacute bleed. Note that neither the optic chiasm nor the optic tracts reveal evidence of hemorrhage on T1-weighted (A, B) or T2 ... Access This Document

Pituitary Bleed Photos

A Case Of Pituitary Hemorrhage Following Cardiopulmonary ...
A Case of Pituitary Hemorrhage Following Cardiopulmonary Bypass Surgery . pituitary apoplexy but the pathogenesis still remains un-clear. Pituitary tumors are known to bleed 5 times more than other intracranial tumors. ... Retrieve Content

Anatomy Of The Cerebellum - Wikipedia, The Free Encyclopedia
The anatomy of the cerebellum can be viewed at three levels. At the level of large-scale anatomy, the cerebellum consists of a tightly folded and crumpled layer of cortex, with white matter underneath, several deep nuclei embedded in the white matter, and a fluid-filled ventricle in the middle. ... Read Article

Pituitary Bleed

Pituitary Adenomas: Possible Role OfBromocriptine ...
Pituitary Adenomas: Possible Role ofBromocriptine inIntratumoral Hemorrhage {149}Pituitary, neoplasms, 145.37 Radiology 1989; 170:239-243 ofthose that did not bleed (0.57 cm). The average size ofbromocniptine- ... Return Doc

Dr Vijay Anand & Dr Theodore Schwartz - YouTube
Dr Vijay Anand & Dr Theodore Schwartz - Duration: 1:22. by SinusSurgeons 764 views. Endoscopic Pituitary Surgery - Duration: 4:20. by Thieme Publishers 221 views. 4:20 Emergency Management of Carotid Bleed During Endoscopic Skull Base Surgery - Duration: 5:05. ... View Video

Pituitary Bleed Pictures

CASE REPORT - Researchgate.net
PERSONAL USE ONLY Hypophyseal fossa aspergillosis mimicking a pituitary macroadenoma with bleed: A case report Nitin Raj Sinha1, Wojciech Szmigielski1, Mostafa Ismail2 ... Access Content

Pituitary Bleed Photos

3-03-08 Anterior Pituitary Disorders
Hypopituitarism . Presentation - most commonly . post-partum apoplexy (pituitary bleed/infarct) Sheehan’s Syndrome - post-partum apoplexy, triggered by hypoperfusion/shock to pituitary ... Read Here

Pituitary Weight Gain

Pituitary Weight Gain Images

Functional Pituitary Adenomas - Providence Health & Services
Jo-Jo CC: 6 yo male dog, fatigued HPI: Progressive fatigue, lack of motivation, weight gain around midsection with weakening hind legs Diagnosis: Cushing’s Disease! ... Document Viewer

Pictures of Pituitary Weight Gain

The Comparative Effects Of Fresh-Water And Marine Teleost ...
G. F. WEISEL-PITUITARY WATER RETENTION HORMONE ratio of the dry weight of the sucker pituitary to total body weight was greater than that of ... Fetch Doc

Photos of Pituitary Weight Gain

PITUITARY, GONAD, AND ADRENAL CONDITIONS Diagnosing, Managing ...
PITUITARY, GONAD, AND ADRENAL CONDITIONS JANUARY 2009I REVIEW OF ENDOCRINOLOGY I19 C ushing’s syndrome is the clinical manifestation of glucocorticoid excess. ... Fetch Document

Pituitary Weight Gain Photos

Diet Planning And Metabolic Individuality
Metabolic rate and are a function of dominance and metabolic breakdown. Certainly we also have Hypo anterior pituitary weight gain is from head to toe and is soft, fleshy, and often in folds. This is most common in short G-types. ... Access Document

Pet Female Rat With A Pituitary Tumor - YouTube
Pet Female Rat With A Pituitary Tumor arora23. Inscrever-se Inscrito Cancelar - holding her front lefts straight in front of her to gain balance In her last month she lost most of her weight but was still active and ate regularly. She passed away peacefully in her sleep ... View Video

Acromegaly Awareness 2 - YouTube
Www.pituitary.org.uk have come together to promote acromegaly.and have linked to this video. if any other companys wish to take part please contact me here at youtube and send me a message ... View Video

Pituitary Weight Gain

Weight Gain - Aaron
Rapid weight gain, tightness of clothing and rings, puffiness in face around eyes and extremenities, secondary is prblem with the hypothalamus or pituitary. c)less than 1% of people with weight problem-C. Weight Gain with Increased Food Intake. 1. ... Access Doc

Pituitary Weight Gain Images

Optimal Thyroid Function - Dr. Judith Boice
Optimal Thyroid Function Judith Boice, N.D., L.Ac. •Weight gain •Feeling chilly •Low body temperature pituitary) and then drawing several blood samples over the next few hours to see if the pituitary gland responds appropriately ... Return Doc

Pituitary Weight Gain Images

Hypothalamic Pituitary Function In Starving Healthy Subjects
Hypothalamic Pituitary Function in Starving Healthy Subjects M. M. Fichterl and K. M. Pirke2 A large amount of literature has emerged describing endocrine dysfunctions in ... Retrieve Here

Pituitary Weight Gain

Enhancement Of Linear Growth And weight gain By ...
Weight gain by cyproheptadine in children with hypopituitarism receiving growth hormone therapy Cyproheptadine (Cp), an antihistamine serotonin antagonist drug with appe- tite National Hormone and Pituitary Program, University of ... Content Retrieval

Pituitary Weight Gain

Selective Disruption Of Dopamine D2 Receptors In Pituitary ...
Selective Disruption of Dopamine D2 Receptors in Pituitary Lactotropes Increases Body Weight and Adiposity in Female Mice Maria Ines Perez Millan,* Guillermina Maria Luque,* Maria Cecilia Ramirez, ... Get Content Here

Low Cortisol Levels And How To Improve Cortisol Function With ...
Low cortisol levels and how to improve cortisol function with Dr. Alan Christianson http://drchristian.com/blog Dr. Alan Besides the weight gain, she had severe acne, fluid This signal is a hormone the pituitary gland releases called ACTH or adrenocorticotropic ... View Video

Images of Pituitary Weight Gain

Amenorrhea, Abdominal Pain, And Weight Gain
Abdominal pain, and weight gain. Laboratory tests showed elevated serum estradiol (23,501 pmol per liter), suppressed luteinizing hormone (<0.1 IU per a pituitary adenoma may override normal feedback mechanisms to cause the ovar- ... Document Retrieval

Cachexia - Wikipedia, The Free Encyclopedia
Cachexia (from Greek κακός kakos "bad" and ἕξις hexis "condition") or wasting syndrome is loss of weight, muscle atrophy, fatigue, weakness, and significant loss of appetite in someone who is not actively trying to lose weight. ... Read Article

Pictures of Pituitary Weight Gain

Effects Of Megestrol Acetate On Pituitary Function And End ...
Effects of Megestrol Acetate on Pituitary Function and End-Organ Hormone Secretion: A Post Hoc Analysis ulation of weight gain after treatment wath megestrol acetate Correlataon between cytokme levels and num- nonal status, ... Get Content Here

Pituitary Weight Gain Photos

Equine Cushing's Disease And Equine Metabolic Syndrome
Equine Cushing’s Disease & Metabolic Syndrome Ever wondered why your little pony seems to gain weight on thin air alone, or why he or she keeps getting bouts of laminitis again and again even though you’ve tried so ... Read Full Source

Pituitary Weight Gain Photos

ANTERIOR PITUITARY DISORDERS - The University Of Tennessee ...
Determined that she had anterior pituitary deficiency (but no diabetes insipidus) and started her on physiological replacement doses of cortisol and thyroxine. She later was He continued to gain weight, but linear growth began to decline. ... Get Content Here

Pictures of Pituitary Weight Gain

Lymphocytic Hypophysitis Occurring Simultaneously With A ...
Lymphocytic Hypophysitis Occurring Simultaneously with a Functioning Pituitary Adenoma D. J. CUTHBERTSON1, old lady, with a history of primary hypothyroidism, who presented with weight gain and hirsutism and pituitary tissue with the clinical course being so unpredictable ... View Document

Pituitary Weight Gain Images

Recurrent Lymphocytic Hypophysitis In A Woman 27 Years After ...
1969 with the complaints of weight gain, hirsutism, secondary amenorrhoea and infertility. She was diagnosed to be a case of Cushing’s disease based on pituitary function in these years as she was healthy and had three full term normal deliveries. ... View Document

Photos of Pituitary Weight Gain

Adrenal & Pituitary Disease
Pituitary and Adrenal Dysfunction: How to Screen and Manage SPEAKER Whitney Woodmansee, MD – No edema, hypertension, weight gain, changes in body composition Approach to Pituitary Disorders: Incidental or Clinically Evident Evaluate: ... Fetch Doc

Images of Pituitary Weight Gain

PITUITARY GLAND BASICS INFORMATION FOR PATIENTS
Pituitary PITUITARY GLAND BASICS INFORMATION FOR PATIENTS WHAT IS THE PITUITARY GLAND? WHAT DOES IT DO? The pituitary gland is a small hormone-producing gland that is fatigue, weight gain, weakness, depression, high blood pressure, diabetes, ... Read More

Natural Remedies For Adrenal Fatigue - About.com Health
Weight gain (especially around the abdomen) muscle and/or joint pain; Natural Remedies for Adrenal Fatigue. Here are some natural solutions for fighting adrenal fatigue and reclaiming your energy. 1) The Adrenal Fatigue Diet. Increasing your levels of vitamin C (found in citrus, ... Read Article

Pictures of Pituitary Weight Gain

Cushing's Disease In Children: Report Of Three Cases
Cushing’s disease is rare in children and and signs of weight gain and growth retardation. Two also demonstrated personality changes, hypertension and hypokalemia pituitary function in patients with paediatric Cushing’s dis-ease treated with pituitary radiotherapy. Eur J Endocrinol ... Fetch This Document

Images of Pituitary Weight Gain

Cortisol's Role In Weight Gain - CortiSLIM Stress And Weight ...
Cortisol's role in Weight Gain The real reason we can’t lose weight Today’s high-paced lifestyle is just not wreaking havoc on our day-timers, it is also placing our ... Get Doc

Photos of Pituitary Weight Gain

EFFECTS OF SELECTION FOR POSTWEANING GAIN ON TESTICULAR ...
EFFECTS OF SELgCTION FOR POSTWEANING GAIN ON TESTICULAR FUNCTION IN MICE1 B . W. JOHNSON and E. J. EISEN Animal Science Department, North Carolina State Universi~f (P < .01), pituitary (P < .05) and relative weight of seminal vesicles (P < .05). Although ... Retrieve Content

Thursday, July 30, 2015

Pituitary Cyst Size

Pituitary Cyst Size Images

Colloid cyst Of The Third Ventricle, Hypothalamus, And Heart ...
Colloid cyst of the third ventricle, hypothalamus, and heart: the cyst size, nor the degree of ventricular dilatation appears to be a reliable predictor of outcome, as even small, asymptomatic cists may result in sudden death [7,16,17]. ... Get Doc

Pituitary Cyst Size

The Origin Of pituitary cysts In The Rostral Pars Distalis Of ...
The Origin of Pituitary Cysts in Pungit~us 419 and 3), but also ran through the middle of larger ones. It seems likely that the central ... Access Document

Understanding MRI Results - About.com Health
Understanding MRI Results 2. Indications and Risks of a CT Scan versus an MR… 3. Understanding CT Scan Results 4. What Are These Spots on My MRI? 5. How Does Functional Magnetic Resonance Imaging … About.com; About Health; Neurology. . . ... Read Article

Images of Pituitary Cyst Size

Differential Diagnosis Of Sellar Lesions - Ucsfcme.com
Differential Diagnosis of Sellar Lesions. Page 2 Introduction -Sellar Anatomy ANTERIOR POSTERIOR INFERIOR SUPERIOR. Pituitary Arachnoid Cyst Congenital or acquired; increased adenoma size up to 3 cm makes a higher prolactin attributable to stalk effect. ... Get Document

Pituitary Cyst Size Photos

A Descriptive Study To Find Possible Correlation Between MRI ...
A descriptive study to find possible correlation between MRI findings of pituitary gland and serum prolactin level Muhammad patients, pituitary cyst was found (size: 0.5x0.4cm in patient with serum prolactin level of 26.6ng/ml, and 0.3x0.3cm in patient with serum prolactin level of 5 ... Access Full Source

What Is The Cerebral Cortex? - About.com Education
The cerebral cortex is the outer covering of the cerebrum. It is the layer of the brain often referred to as gray matter. ... Read Article

Anatomy Of The Brain - Ventricular System - About.com Biology
Free Biology Newsletter! Sign Up. You can opt-out at any time. Please refer to our privacy policy for contact information. Discuss in my forum. See More About. brain anatomy; ventricular system; cerebrospinal fluid; Explore Biology. Must Reads. ... Read Article

Pituitary Cyst Size Photos

Pituitary Tumor Removal, Transsphenoidal Surgery For
Transsphenoidal Surgery for Pituitary Tumor Removal. What is the Pituitary Gland? The pituitary gland, a pea-sized gland with two lobes, controls how hormones are produced in ... Fetch Full Source

Pituitary Tumor Scans - YouTube
Pituitary tumor scans Monkey Feces. Inscrever-se Inscrito Cancelar inscrição 128 128. Carregando Simple Talk On Pitutiary Tumor Size on MRI Scans - Duração: 1:15. NoseMD 5.296 visualizações. Pituitary Tumor: What Should Women Know Following This Diagnosis? ... View Video

Photos of Pituitary Cyst Size

Atypical Rathke's Cleft Cyst Associated With Ossification
Imaging showed a gradual increase in size (Fig 1E). On ad-mission, she had no abnormal neurologic findings. Endocri- associated with a pituitary cyst arising from Rathke’s cleft and secondary lesions in the hypothalamic region and ventricles. Brain 1927;50:704–718 14. ... Read Document

Images of Pituitary Cyst Size

Conservative Management Of pituitary Tumor Apoplexy
Conservative management of pituitary tumor apoplexy Tratamento conservador da apoplexia pituitária Antonio Benigno A. Santos1, Mariana M. França1, The size of the adenoma appears to be the greatest risk factor; patients with macroadenomas ... Read Here

Papillary Tumors Of The Pineal Region - Wikipedia, The Free ...
Papillary Tumors of the Pineal Region are located on the pineal gland which is located in the center of the brain. The pineal gland is located on roof of the diencephalon. It is a cone shaped structure dorsal to the midbrain tectum. [3] ... Read Article

Pituitary Cyst Size Pictures

Pituitary Gland Tumours - NHS
Pituitary gland tumours Although pituitary tumours are classified as brain tumours, they have very few similarities to other types of brain tumour. and size of the tumour, so you may have a number of tests and investigations. Eye tests ... Fetch This Document

Pictures of Pituitary Cyst Size

Diagnostic Imaging Of The Pituitary And Parasellar Region
Pituitary Adenomas 18 Pituitary adenomas can be classified on the ba sis of their size: microadenomas are less than 10mm in diameter and macroadenomas are greater than 10mm. ... Read Content

Pituitary Cyst Size Pictures

Cysts - American Brain Tumor Association
The sphere increases, the size of the cyst increases. These cysts may quietly sit in the brain pituitary gland, or along the skull where they may actually grow through the skull bone. Standard treatment of epidermoid cysts is surgical removal. ... Retrieve Content

Pituitary Cyst Size Images

The Pituitary Mass: Diagnosis And Management
The Pituitary Mass: Diagnosis and Management 57 pituitary gland [24,25]. Pituitary macroadenomas are easier to identify because of their larger size and frequent ... Read Here

Images of Pituitary Cyst Size

The Surgical Management Of Pituitary Tumours Indications ...
The Surgical Management of Pituitary tumours Indications, techniques, results and complications – Rathkes pouch cyst. Clinical presentation : Mass effect • Visual disturbances based on CT / MRI of tumour size – Macroadenoma > 10 mm – Microadenoma < 10 mm. Modalities of treatment ... Retrieve Full Source

Parathyroid Adenoma - Wikipedia, The Free Encyclopedia
A parathyroid adenoma is a benign tumor of the parathyroid gland. It generally causes hyperparathyroidism; there are very few reports of parathyroid adenomas that were not associated with hyperparathyroidism. ... Read Article

Pictures of Pituitary Cyst Size

Imaging Of Pediatric Pituitary Abnormalities
Imaging of Pediatric Pituitary Abnormalities Bradley N. Delman, MD The normal pituitary is a bean-shaped gland that resides in the sella turcica, a fossa in ... Fetch Content

Images of Pituitary Cyst Size

The Occurrence And Nature Of Cysts In The Pituitary Glands Of ...
The Occurrence and Nature of Cysts In the Pituitary Glands of Fowls and Rats. E. H. HERRICK and SHIRLEY D. McCORMACK For any one cyst the section showing the greatest size was measured. The cysts were well defined structures (Fig. 1, 2, 3, and 4). ... Access Content

Pituitary Cyst Size Images

Pituitary Intratumoral Hemorrhage During Radiation Therapy ...
Pituitary intratumoral hemorrhage during radiation dered that tumors of almost any size may undergo he-morrhage and apoplexy 9]. [ The relationship between cyst formation and the risk Pituitary Adenoma; Radiotherapy; Cyst; Giant ... Access Document

Colloid cyst - Wikipedia, The Free Encyclopedia
Colloid cyst symptoms have been associated with 4 variables: cyst size, cyst imaging characteristics, ventricular size, and patient age. The developmental origin is unclear, though they may be of endodermal origin, which would explain the mucin-producing, ciliated cell type. ... Read Article

Images of Pituitary Cyst Size

Follicle-stimulating Hormone-secreting pituitary Adenoma ...
CASE REPORT Open Access Follicle-stimulating hormone-secreting pituitary adenoma manifesting as recurrent ovarian cysts in a young woman – latent risk of unidentified ... Fetch This Document

Pituitary Cyst Size

Pituitary Gland ((ต่อมใต้สมองต่อมใต้สมอง))
3/2/2008 3 Perioperative management Pituitary reserve/function-Imaging (type of lesion and size)-Endocrine testing (basal and dynamictest) Cushing’s disease: higher risk for postoperative Type of pituitary lesion ... Fetch Here

Photos of Pituitary Cyst Size

CLINICAL STUDY Outcome In Surgically Treated Rathke’s Cleft ...
The cyst size and is observed only in cysts with high and iso-intensity on T1-weighted MR images (20). Notably, syndrome of inappropriate secretion of ADH has also ... Doc Retrieval

Pituitary Gland & Pituitary Tumors: An Overview - Updated ...
Pituitary Gland & Pituitary Tumors: An Overview - Updated Version Available Pacific Neuroscience Institute. Subscribe Subscribed Unsubscribe 724 724. Simple Talk On Pitutiary Tumor Size on MRI Scans - Duration: 1:15. NoseMD 5,296 views. 1:15 Amy's Story - Pituitary Tumor ... View Video

Pituitary Cyst Size Photos

Spontaneous Regression Of A pituitary cyst - Springer
To our knowledge, a decrease in the size of a pituitary cyst, documented on imaging, has not been reported in the literature, and cyst regression may have clinical and surgical ramifications. There have been two reported cases of aseptic meningitis as a result of rup- ... Read Here